医院紹介動画clinic movie
1対1の診療で
心に変化をもたらす矯正治療をconcept
当院が大切にしているのは、患者さんとの1対1のコミュニケーションです。治療面はもちろん費用面においても、患者さんに安心していただけるようまずは対話を重視。さらに、これまで積み重ねた知識や経験を活かし、一人ひとりの年齢に合わせた治療をご提案します。
患者さんのご希望をしっかり伺い、それをできるかぎり叶える。その結果、自信を持って話せるようになったり、思い切り笑えるようになったり……。そんな心に前向きな変化をもたらせられるような、そして患者さんの豊かな生活につながるような診療のご提供に努めてまいります。
患者様の安心に
寄り添うための
4つのポイント
point01
1:1のコミュニケーションで
納得・安心の治療をご提供
費用がかかるからこそ丁寧なご説明を欠かさず、十分にご納得いただくことを重視。最初から最後まで、院長と患者さんの二人三脚でゴールを目指します。
point02
矯正治療を専門に行っている院長が
患者さんの
治療・ケアの
すべてを担当
院長は矯正治療を専門に行っており、経験豊富であり、矯正治療についての専門的な知識と実績を持っています。すべての治療とケアを院長が担当することで、わずかな変化も見逃しません。
point03
事前の明確な治療費の
ご提示・追加費用なしで安心
事前にすべての費用をご提示する「トータルフィー制度」を採用。もし予定より期間が長引いても、追加費用が発生することはありません。料金が明確なため、患者さんも安心です。
point04
患者さんの安全をお守りする
衛生管理の徹底
治療器具は使用ごとに適切な滅菌処理を実施し、患者さんごとに交換。可能なかぎり使い捨ての器具を使用するなどして院内感染を防止し、患者さんをお守りします。
患者さんの年齢に合わせた
矯正治療
- 成人矯正治療
- 中高生の
矯正治療 - 小児矯正治療
成人矯正の治療方針
成人矯正では基本的に、安定した歯並びの獲得を目指した治療方針を立案しています。成人矯正はお子さんの治療と違い、患者さんご本人の希望を確認することが可能のため、その点を重視して治療を進めていきます。またなるべく効率よく歯を動かせるよう配慮し、治療期間の短縮に努めています。
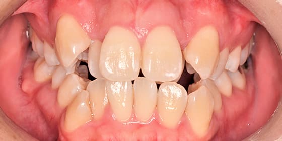
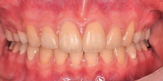
症例の詳細
- 患者様からの主訴
- 歯がガタガタしている・前歯で咬めない
- 診断名
- 叢生(でこぼこ)
- 年齢
- 27歳
- 治療に用いた装置
- マルチブラケット装置(裏側矯正、ハーフリンガル)
- 抜歯部位
- 上下顎左右第一小臼歯抜歯
- 治療期間
- 2年
- 治療費用
- 診断料 44,000円
基本矯正料 990,000円(毎回の処置料金を含む)
- 治療の説明
- マルチブラケット装置(ハーフリンガル)
- リスク・副作用
- 矯正治療により、歯根吸収や歯肉退縮が起こることがあります。
中高生の矯正治療方針
すでに永久歯が生えそろっているため成人矯正と同様の治療方針を基本とし、将来的にも安定した歯並びを獲得できるよう治療を進めていきます。とくに注意しているのは、まだ精神的にも成長段階にある年齢であることをふまえて、お声がけやアプローチをすること。また部活動や習い事などでお忙しいかと思いますので、なるべく効率よく歯を動かせるよう考えて、可能なかぎり治療期間を短くできるよう配慮しています。
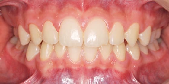
症例の詳細
- 患者様からの主訴
- 前歯が出ている・口が閉じにくい・奥歯が倒れている
- 診断名
- 第二大臼歯に鋏状咬合を伴う上顎前突(出っ歯)
- 年齢
- 16歳
- 治療に用いた装置
- マルチブラケット装置(表側矯正)
- 抜歯部位
- 上顎左右第一小臼歯抜歯
- 治療期間
- 2年6カ月
- 治療費用
- 診断料 44,000円
基本矯正料 825,000円(毎回の処置料金を含む)
- 治療の説明
- マルチブラケット装置(表側矯正)
- リスク・副作用
- 矯正治療により、歯根吸収や歯肉退縮が起こることがあります。
小児矯正の治療方針
お子さんに対する矯正治療では、虫歯のリスクを軽減するとともにできるかぎり痛みが出ないよう、取り外せる装置を使用しています。また一人ひとり異なるお子さんの顎や歯の大きさ、さらに性格なども考慮した上で、無理のない治療計画を立案。成長の力を利用して、できるかぎり歯を抜かずにすむよう配慮しています。
症例の詳細
- 患者様からの主訴
- 歯の生える隙間が足りない
- 診断名
- 叢生
- 年齢
- 8歳
- 治療に用いた装置
- 拡大床・ヘッドギア
- 抜歯部位
- 非抜歯
- 治療期間
- 3年
- 治療費用
- 診断料 44,000円
基本矯正料 473,000円(毎回の処置料金を含む)
- 治療の説明
- 拡大床及びヘッドギアを使用し隙間の確保を行った。
- リスク・副作用
- 矯正治療により、歯根吸収や歯肉退縮が起こることがあります。
こんなお悩みありませんか?problem
-
矯正をしたいけど人前で話す
機会が多い -
矯正をしている
ことを他人に知られたくない -
矯正治療中も、口元を気にせず笑ったり写真を
撮ったりしたい
裏側矯正なら
見た目を気にせず
歯並びを整えられます

裏側矯正とは?
歯の裏側(舌側)にブラケットという装置を装着し、ワイヤーを通して行う矯正治療です。装置もワイヤーも裏側にあるため外から見えず、まわりの人に矯正治療をしていることを気づかれにくいのが特徴です。
裏側矯正のメリット
- 他人に気づかれずに矯正治療ができる
- 装置が、外からの衝撃によるダメージを受けにくい
- 表側矯正に比べて虫歯になりにくい
- 歯を舌で押すクセを改善できる

当院は、表から見えない
「裏側矯正」が得意です
歯の裏側の形状は複雑であり、ブラケットの装着が難しいのが特徴です。もし表側矯正と同じ方法を用いれば、歯の動き方がまったく変わり治療結果に影響してしまいます。そのため繊細な注意観察が必要になります。
当院院長は裏側矯正を得意としており、一人ひとりに合わせた治療のご提供が可能です。初診カウンセリングを行っておりますので、まずはお気軽にご相談ください。
矯正治療メニュー

日本矯正歯科学会認定医
くろかわ矯正歯科院長黒川 真
矯正治療を専門に行っており、
経験豊富な知識と技術で、
患者さんに心からの笑顔を提供しますgreeting
当院院長は、矯正治療を専門に行っており、経験豊富な院長が責任を持って診療にあたっております。矯正治療に関する豊富な知識と実績を元に、何より「患者さんの安心」を大切にした診療を行っています。また治療のゴールを「歯並びを整えること」に定めるのではなく、その先にある患者さんの笑顔や豊かな表情を思い浮かべて、日々真摯に治療に取り組んでいます。









